“You do look a bit pregnant”

ultrasound

“You do look a bit pregnant,” the eldest ventured last night.

“Yes,” I replied/sighed. “My doctor suggested I call it Freddy the Fibroid.”

I think it’s a measure of how much I’ve desensitised the eldest that she laughed rather than recoiled in horror.

Normally such a statement would be greeted with screeches of “Mum! No! Arggggghhhh!”

So … anyways … I went to Greg the Gyno yesterday and he said I can no longer have muffler-through-tailpipe surgery because Freddy the Fibroid is now as wide as a full-term baby’s head.

He doesn’t like to deliver anything that large through lady tailpipes unless it IS a baby.

So I’m looking at birthing Freddy via a third caesarean.

I’m not so keen on a third caesarean.

Greg the Gyno, on the other hand, was keen to see me. Not because he wants to rip half my innards out ASAP, mwhahahahaha, but because I’m such good value during patient consults.

He actually said he got excited when he saw my name in his appointment schedule for the day.

Naaaawwww.

He normally does oncology work, so I’m probably a bit of light relief.

I obliged him with several entertaining anecdotes about my crazy life/work before launching into a barrage of VERY embarrassing questions about down there.

He was also stoked to hear that I’d been blogging about him. I’m not sure you’re allowed to mention doctors by name, but email me if you need a recommendation. He’s really good.

As usual, there was a medical student seated to his right. As a middle-aged extroverted introvert I’ve become very good at blanking out such things, although I did ask the poor girl to cover her ears at one point.

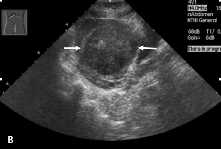
Fortunately, I didn’t have to go pants-less at any stage of the appointment. My ultrasound spoke for itself.

Despite the obvious evidence, I remained resolute in my preference for not having half my innards ripped out.

And Greg the Gyno remained equally resolute in his objection to my Plan B – embolising Freddy the Fibroid.

He reckons it hurts like hell, sometimes doesn’t work and doesn’t stop more Freddies growing. He’ll write me a referral to an awesome embolisation bloke if I REALLY, REALLY want to … but he’d rather not.

So we’re at an impasse.

I paid my $120 and wandered off into the afternoon, still no closer to deciding what the hell to do about my growing problem.

Hmmmm …

Thank you to everyone who has given their advice on the topic, especially those who’ve decided for and against various procedures. It’s been great to get intel from the trenches … so to speak …

Song of the day: Sheryl Crow “The first cut is the deepest”

 

 

 

4 thoughts on ““You do look a bit pregnant”

Add yours

  1. I am following along with intense interest because of my own imminent gynae appointment. I’m still thinking that if it’s not bothering me excessively I can keep my head in the sand and that’ll be the best treatment option. Although the idea of a flat stomach is kind of appealing to say nothing of the instant weight loss. It’s just the whole cutting into me and removing bits that I’m not keen on.

  2. I had the same problem Alana, I was lucky to find a surgeon willing to do keyhole surgery, chop up my womb and those fibroids into little bits and rip it all out through my vajayjay … healing time is much quicker if you can find a surgeon to do it. I’m so glad I had my hysterectomy, 3 years now and counting and loving life, so good to not bother with periods anymore and I’m no longer anemic YEAH!

    1. That’s the thing for me though Janet, I’ve already had the womb razed, so no bleeding problems. That’s why it feels a bit like killing a spider with a machine gun.

Leave a comment

Blog at WordPress.com.

Up ↑